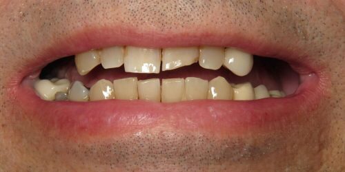
Cosmetic Dentistry
Whole Health Dentistry
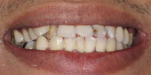
Cosmetic Dentistry
Whole Health Dentistry
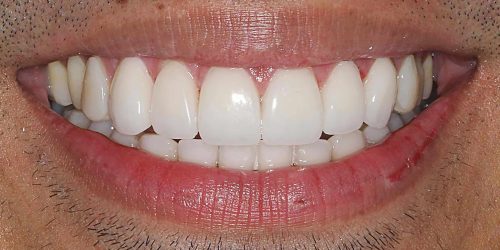
Cosmetic Dentistry
Whole Health Dentistry
Cosmetic Dentistry
Whole Health Dentistry
Cosmetic Dentistry
Whole Health Dentistry
Cosmetic Dentistry
Whole Health Dentistry



