Cosmetic Dentistry
Whole Health Dentistry
Cosmetic Dentistry
Whole Health Dentistry
Cosmetic Dentistry
Whole Health Dentistry
Cosmetic Dentistry
Whole Health Dentistry
Cosmetic Dentistry
Whole Health Dentistry
Cosmetic Dentistry
Whole Health Dentistry
We utilize the teethxpress Procedure to completely makeover your smile in a day. By placing strategic implants, your new teeth can be secured permanently to your jawbone restoring the function and beauty of your smile. Teeth in a day is a quick, secure, and impressive long-term solution for missing teeth.
Before the one day surgery, we will carefully plan your new smile. After conducting a full oral exam, x-rays and 3D scans will be recorded to achieve a clear picture of your mouth as a whole. At the end of your consultation, your transformation will be all planned so your one day miracle will be possible.
Upon arrival for your new teeth in a day, your relaxation is of the utmost importance to our staff. Beyond sharing our luxury amenities, we will make you comfortable for the procedure with local anesthesia and sedatives as needed.
Making space for your new implants, any necessary extractions will be completely swiftly. The implants will be installed at the jawbone so they can properly bond through a process called osseointegration. Basically, your mouth will heal and accept the implants as part of your natural smile.
While your mouth is healing from the implants and bonding properly, temporary teeth will be placed. These teeth will look good and function for the time being. Once healed, your custom made permanent teeth will be implemented.
At this final stage, your permanent implants will be attached. Not only will your smile be aesthetically pleasing, but it will also function with nearly the strength of natural teeth. Teeth in a day is a solution which prioritizes strength, beauty, and confidence.
With my new teeth, I feel very confident. It’s a whole new life experience.
My family and friends tell me I look 15 years younger. Providence Dental, in my mind, are miracle workers.
They are the most natural-looking teeth I have ever seen. My smile is amazing.
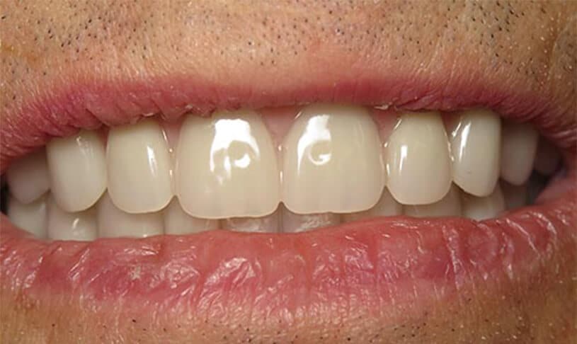
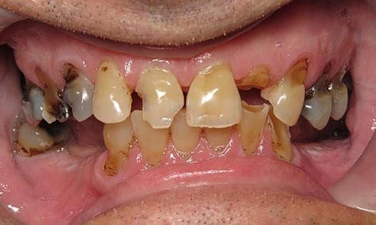
Teeth in a Day is a single-day dental implant procedure that involves placing a full arch of teeth on four to six strategically placed implants. This innovative treatment allows patients to restore their smiles and regain their confidence in just one visit to the dentist.
During the procedure, our skilled team of dental professionals will carefully place the implants in your jawbone and attach a custom-made set of temporary teeth. These temporary teeth look and function like natural teeth, allowing you to eat and speak normally immediately after the procedure.
After a healing period of several months, the temporary teeth are replaced with permanent, customized teeth designed to fit your unique smile. This minimally invasive treatment option is an excellent solution for individuals who are missing most, or all, of their teeth and desire a long-term, cost-effective solution.
Your comfort level and dental situation will determine what sort of anesthesia or sedation is necessary. Many patients only need local anesthesia for the procedure. At Providence Dental Spa, we are committed to your comfort, so we offer a variety of options to help you relax for the procedure. Before your procedure, we will discuss all the options with you to determine the best fit for you.
Although both dental solutions can help patients with missing or damaged teeth. Teeth in a Day is a solution which does not have to be removed from your mouth and therefore feel more like your real smile. Your care regimen for Teeth in a Day implants is very similar to natural teeth. Although denture design has advanced over the years, most patients find Teeth in a Day to be more convincing as natural teeth.
After you have recovered, your new smile will be beautiful and secure, ready to handle normal chewing.
Scheduling a consultation is the first step in your journey to a beautiful smile. We will need to meet with you and evaluate your situation using an exam, x-rays, and 3D scans. With a full picture of your dental health, we can formulate a personalized plan for you.
The cost of Teeth in a Day varies depending on the individual’s needs and desired results. It is best to schedule a consultation with our dental team to receive an accurate estimate. An average cost estimate is between $25,000-60,000, depending on your dental needs.
"*" indicates required fields